微創介入性腦中風治療,掌握先機可降低傷害
(中央社訊息服務20211206 09:22:23)一位五十二歲男性有高血壓病史病人,到院時,滿分五分的力氣僅剩二分,檢查發現是中大腦動脈血栓堵住,經過取栓手術讓血流順利通過,將大腦損傷降到最低。花蓮慈濟醫院影像醫學部主任高鴻文5日在專家講座分享「微創介入性腦中風治療」,也指出慈院影像檢查可以透過AI系統立即完成判讀,分析血管阻塞程度並評分腦中風面積。
去年國人十大死因第四名為腦血管病變,包括心臟病、糖尿病、高血壓、腎病等,都可能引發腦血管病變,其中腦中風為大腦血液供應受阻,中斷過久易造成死亡,也容易造成嚴重神經功能障礙,花蓮慈濟醫院影像醫學部主任高鴻文表示,腦中風治療除開顱外,已有微創取栓治療方式,透過人工智慧(AI)工具,病人可更快速得到更完善治療。
高鴻文主任在「2021台灣醫療科技展」中,以「微創介入性腦中風治療」為題在花蓮慈院攤位專家講座上分享指出,花蓮慈院目前開始建置AI系統,腦中風病人做完電腦斷層掃描(CT)或磁振造影檢查(MRI)後,影像透過AI系統立即完成判讀,分析血管阻塞程度並評分腦中風面積。
高鴻文主任指出,醫師與家屬可根據判讀結果,決定是否進行取栓治療,系統也會通知所有團隊成員手機,包括急診部、神經內科部、神經外科部、麻醉科、影像醫學部、護理部等整個中風治療團隊,在最短時間完成治療前準備,提供病人更迅速完善的處理。
家裡有腦中風病人連帶家人生活品質都變差,對社會、家庭都是極大負擔,且年紀越大越容易發生,尤其高血壓、高血糖、高血脂等慢性病患者,建議要按時服藥、回診,平常也應多膳食纖維、規律運動,四十歲以上可三年做一次健康檢查。
一旦發生周遭有人步態不穩、視力模糊、說話不清楚的腦中風徵候,千萬不要給任何降血壓藥與食物,並解開他的衣服,出現麻痺症狀的一側應朝上臥,高鴻文主任提醒,立即送醫之外,還要記錄發生症狀的時間,因為中風發作時間是往後治療的重要依據。
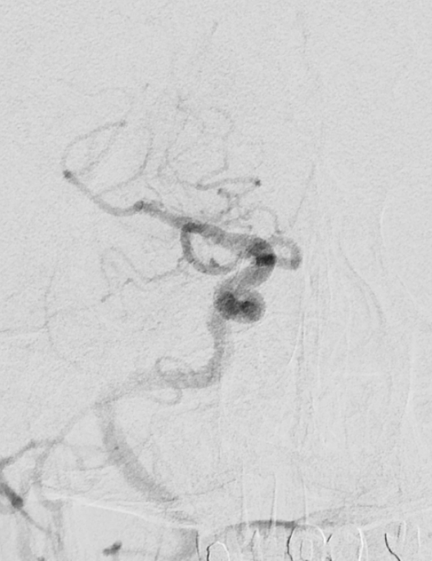
腦中風大致分為二種,一種是腦血管破裂出血、一種是血管堵住缺血。高鴻文主任分析,缺血性中風的治療結果跟發生面積與發生後多快得到治療的時間有很大的關係,越早治療,恢復得會越好,包括4.5小時內施打血栓溶解劑(rTPA),與取栓治療,症狀發生24小時內都有機會治療,甚至病人打了血栓溶解劑之後仍可同步進行取栓治療。
以取栓治療而言,從鼠蹊部置入導管,穿過股動脈到中大腦,醫師透過導管輕巧將抽吸或支架取栓裝置放到阻塞位置進行血栓移除,順利移除血栓後,受影響中風區域組織與細胞有可能大程度保留並得到較佳的復健效果。花蓮慈院目前執行取栓治療的醫師有影像醫學部高鴻文主任、神經影像科主任薛俊仁、神經介入診療科主任阮郁修、神經外科李建輝醫師部等醫師。
高鴻文主任舉例,一位五十二歲男性有高血壓病史病人,發病後滿分五分的力氣僅剩二分,在中大腦動脈血栓堵住情況下,經過取栓後讓血流順利通過,將大腦損傷降到最低。另一位病人是七十五歲伯伯,也是左邊中大腦動脈血栓堵住,到院時右側肢體僅剩二分力氣,口齒不清,病史包括糖尿病、高血壓、心臟病,經過取栓微創手術治療打通動脈後,讓大腦及時得到救援。
高鴻文主任說,從心臟到大腦的血栓,都可透過取栓微創手術得到救援,像另一位是患有多種慢性病的七十二歲婦人,到院時口齒不清,經檢查為內頸動脈堵住的血栓,即時透過取栓手術可讓大腦恢復血液供應,並提高病人治療後的改善程度。


