清明期間 花蓮慈院提醒民眾防恙蟲
(中央社訊息服務20230331 10:59:49)花蓮慈濟醫院感染科日前收治一位恙蟲病患者,疑似在從事農務時感染,因草叢間是盛行區,除了田野,墓園也是高風險區,感染科醫師鄭順賢提醒,目前正值掃墓時節,建議民眾進出墓園宜穿著長袖衣褲、長靴等,以減少恙蟲叮咬引發感染恙蟲病的機率。
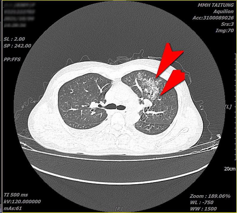
每年三、四月起,恙蟲病例數開始增加,鄭順賢醫師指出,日前收治一位女性病患,因高燒不退、呼吸急喘,先在北部就醫住院治療後要求出院,再到花蓮慈院急診。經過詳細檢查後發現她的右邊腰部有「焦痂傷口」,且肝功能指數異常,雙側鼠蹊部亦見淋巴結腫大,胸部電腦斷層檢查更發現左邊肺部有非典型發炎現象。
鄭順賢醫師在接到會診後進一步詢問病人,得知她主要從事農務工作,長時間接觸草叢,研判她極可能感染恙蟲病,立刻投以四環黴素類抗生素治療,症狀也迅速獲得改善;而檢體送交疾病管制署後,證實為恙蟲病;病人經治療後復原良好,發燒呼吸等問題也逐漸消失,一週後順利出院。
鄭順賢醫師指出,恙蟲病是一種由恙蟲為媒介所造成的立克次體感染性疾病,恙蟲主要生長在草叢中,可以爬到人或其他哺乳動物身體上,吸吮體液時將立克次體注入體內造成感染。恙蟲活動期主要是在夏季,因從事戶外活動的民眾,多穿著短的衣褲,被叮咬的機會大增,恙蟲病潛伏期約7至21天才會出現症狀。
大部分的人被恙蟲叮咬後,無痛無癢,叮咬處會漸漸形成中間黑色、外紅的焦痂,鄭順賢醫師提到,這是恙蟲病非常典型的皮膚特徵,經過潛伏期,會出現高燒、寒顫、嚴重頭痛、全身關節肌肉酸痛及結膜充血等症狀,身體也會出現全身性淋巴結腫大,尤其在叮咬處附近的淋巴結腫的更大,甚至有壓痛感、肝脾腫大、身體及四肢會出現紅色的斑丘疹;偶爾也會出現肺炎、腦膜炎、及心肌炎等嚴重併發症,約有60%的死亡率。
鄭順賢醫師提醒,除了農務,清明掃墓祭祖時,在進入草叢區前,先塗抹防護驅蟲藥劑;建議穿著長袖衣褲、長靴、手套等保護性衣物,紮緊袖口、褲管口,把襯衣紮入褲腰內;返家後應立刻更衣、洗澡、特別是腋窩、腰部、鼠蹊部等皮膚柔軟部位要加強清潔,減少被恙蟲叮咬的機會。一旦出現恙蟲病症狀,應立即就醫並告訴醫師旅遊史,以幫助醫師診斷,早期治療。


