奇蹟!花東首例突破性低溫療法 治六歲女童急性壞死性腦炎
(中央社訊息服務20230428 18:11:19)六歲蔡小妹(化名)因感染A型流感引發「兒童急性壞死性腦病變(Acute necrotizing encephalopathy of childhood, ANEC)」,造成腦部嚴重受損,昏迷指數低到必須插管,醫療團隊將所有常規治療降低腦壓的藥物都用上了,病況也未見起色。由於病情惡化相當快速,情況危急,花蓮慈濟醫院兒童神經科主任王傳育在與家屬討論過後,使用突破性的「低溫療法」控制嚴重腦炎,成功降低腦壓,讓蔡小妹脫離險境,並於二週後順利出院!
「兒童急性壞死性腦病變」是一種死亡率高達六至七成的腦病變,常見症狀包括高燒、嘔吐、快速喪失意識等,即使病人治療後存活,預後也普遍不佳,經常伴有嚴重的神經系統後遺症。蔡媽媽表示,蔡小妹剛開始發燒時意識都很清楚,然而在不到六小時後開始偶爾出現肢體躁動、會亂說話的情形,好不容易自41度的高燒退燒,卻又在半天後出現身體僵硬,以及不自覺咬牙的症狀,於是緊急將她送到花蓮慈院急診,經核磁共振檢查,發現已產生腦部發炎病變典型表現。
蔡小妹從急診入院,不到一天即被轉至兒科加護病房,病況急轉直下,昏迷指數每天都在降低,到入院第四天已掉到剩下六、七分,對外界刺激已幾乎無反應。花蓮慈院醫療團隊第一日便緊急照會兒童神經科主任王傳育和兒童感染科主任何愉懷,透過腰椎穿刺排除腦部細菌感染引起的炎症後,使用高劑量類固醇(每公斤體重30毫克)脈衝治療及免疫球蛋白(每公斤體重2公克)療法;二種療法皆為急性壞死性腦病變的標準治療方式,然而蔡小妹的情況卻沒有好轉且持續惡化,心率一度因腦壓過高掉到每分鐘只剩40~50下。持續標準療法治療一週後,兒科團隊也照會神經外科醫師討論是否可能以手術降低腦壓,但風險評估結果並不適合,只好作罷。王傳育主任表示:「真的所有常規的治療手段都用過了,腦壓還是降不下來,必須要想其他辦法幫助她。」
醫療團隊與蔡小妹家屬都堅決不放棄,在查閱相關文獻並諮詢專家後,王傳育主任提出使用「低溫療法」,希望能改善居高不下的腦壓。低溫療法需讓病患維持二日34度的體溫,到第三日開始以每小時0.2度的速度慢慢回溫,一天回溫1度,直到正常體溫的36度為止,共四天療程。低溫療法並非治療兒童急性壞死性腦病變的標準治療流程,一般適應症為足月產新生兒的缺氧性腦病變,或用於治療一氧化碳中毒、溺水等意外造成的腦部缺氧及創傷性腦損傷(Traumatic Brain Injury, TBI)等。當執行低溫療法後,蔡小妹的生命徵象逐漸穩定下來,腦壓也獲得了顯著的控制,而能陸續撤掉用在身上的各式降腦壓藥物,最後甚至逐步恢復意識到能順利移除呼吸器,從加護病房轉至普通病房。
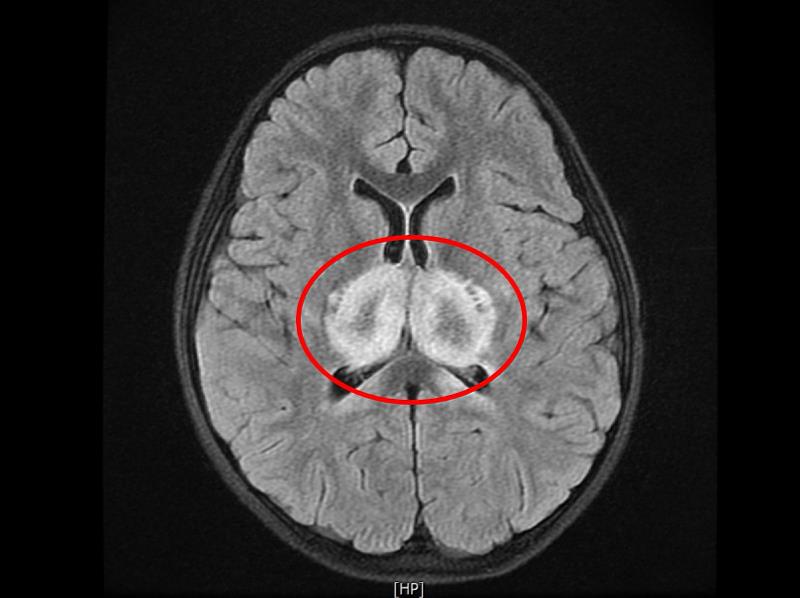
「解決危急病況只是第一步,後續還有一道道難關要解決,這是個漫長的過程。」花蓮慈院兒科病房主任陳明群表示,蔡小妹剛送至醫院急診時呈現無法說話、嗜睡、癲癇發作、抽筋、血壓下降、心跳偏低卻會時而飆升的狀態,生命徵象非常不穩定,核磁共振掃描影像顯示「視丘」區域發白,即此區塊正嚴重發炎。陳明群醫師指出,視丘是大腦的中繼站和樞紐,無論是感覺神經要將訊息傳回大腦,或運動神經要把指令從大腦傳出,都必須經過視丘轉換神經元傳遞訊號;因此若視丘有嚴重細胞損傷,將會大大影響患者生命健康。
由於蔡小妹的腦部已受損,在恢復期內曾出現全身肌肉僵硬、無法說話等症狀,需透過復健慢慢找回對身體的控制,但這對在普通病房醒來的蔡小妹而言,無異於睡了一覺後發現自己喪失所有表達能力。陳明群主任表示:「妹妹有很多情緒卻不能說出口,有時候我們會觀察到妹妹血壓突然暴衝卻無明顯疾病狀況的變化,推測可能就是她在生氣。」為了讓醫療團隊與蔡小妹之間能用非語言溝通重新建立信賴,兒科團隊特別協請花蓮慈院與瑞信兒童醫療基金會合作常駐於本院的藝術治療師,重建無言語下彼此溝通的橋樑,利用類似黏土的軟質道具互動,一點一點培養與孩子的鏈結。陳明群主任形容,要把這樣的大孩子當作一個嬰兒照顧,去猜測她的所有情緒跟意圖,這個過程並不容易,很感恩有藝術治療師的介入穩定孩子的心情,也減少了陪病家屬的壓力,讓整後續療程更加順利。
轉往普通病房後,蔡小妹在二週內恢復迅速,出院前已移除鼻胃管,也能逐步回復說話和自行行走的能力。王傳育主任表示,這樣的恢復速度在腦傷患者的身上是很少見的,尤其蔡小妹細胞損傷部位是視丘這個重要樞紐,幾乎可以說是奇蹟。回想仍在加護病房的時期,蔡媽媽表示,孩子一直都是健康寶寶,發燒的次數一隻手數得完,沒想到這次病況會這麼嚴重。蔡媽媽非常感恩花蓮慈院兒科團隊的積極救治,在長達一個月的住院日中,照會各專科醫師評估和討論孩子的病情與治療方案,每一位醫師、病房護理師、物理治療師和藝術治療師的協助,都是讓孩子能出院平安返家的關鍵。
陳明群主任感恩家屬全心信賴兒科團隊,因為蔡小妹全家人的堅持與不放棄,給了醫療團隊莫大的支持和動力。腦部受傷的患者通常會面臨漫長的恢復期,蔡小妹於今年三月中出院,之後仍須持續追蹤病況變化,以調整後續用藥或復健內容。每年自十月臺灣開始進入流感季節,陳明群主任也呼籲民眾接種流感疫苗,增加自身抵抗力,同時勤洗手和戴口罩,讓自己遠離疾病及可能的併發症。


