男子便秘三天兩頭自行灌腸 直腸破裂引發腹膜炎
2025/11/27 11:10(11/27 13:36 更新)
(中央社記者管瑞平苗栗縣27日電)65歲黃姓男子長期便秘每隔2、3天自行灌腸,因力道過猛造成直腸破裂,糞水隨破洞流進腹腔,引發嚴重腹膜炎。醫師提醒,改善便秘應從生活習慣著手,必要時尋求醫師協助。
苗栗縣大千綜合醫院今天表示,案例中的黃姓男子長期受便秘所苦,因飲食控制無法改善,每天都服用強力軟便劑,甚至每隔兩三天無法解便時,就會自行灌腸。
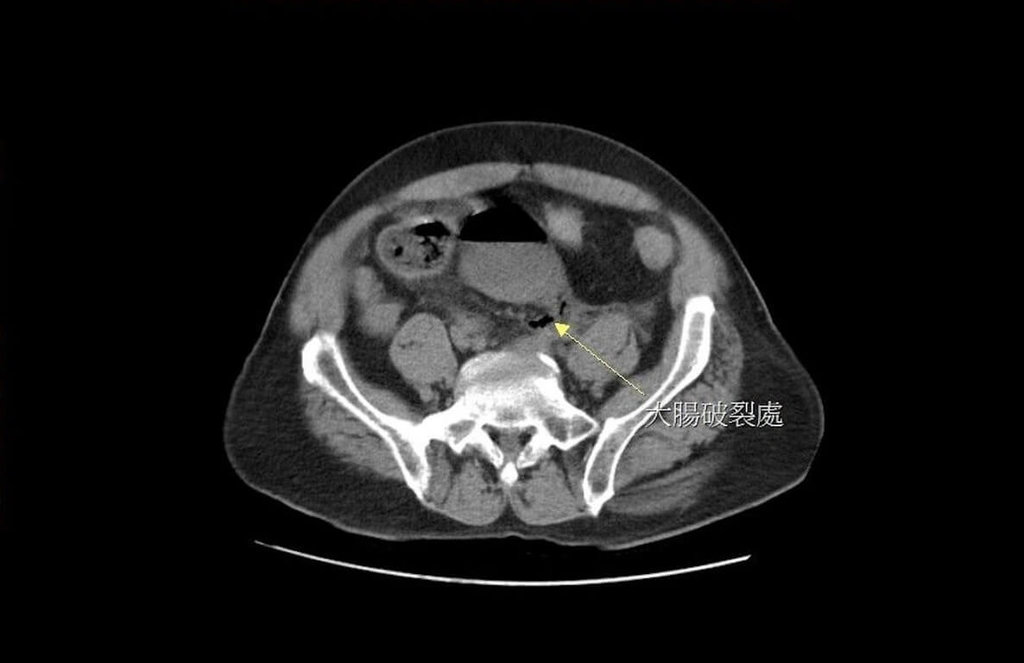
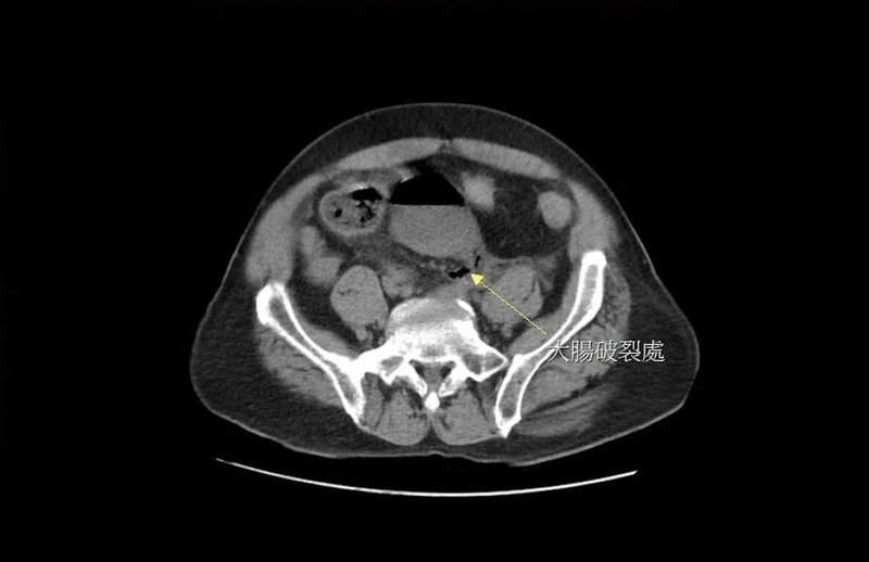
大千醫院指出,黃男日前又因連續3天無法解便而自行灌腸,發現沒有效果,於是改用更長的管子,把瀉藥送入直腸深處灌腸,突然引發劇痛,被家人緊急送至醫院急診,經電腦斷層掃描後發現,男子直腸上端處有巨大破洞,糞水隨著破洞流進腹腔,引發嚴重腹膜炎。
大千醫院外科部主任馮啟彥緊急進行腹腔鏡手術,術中發現破洞位於直腸上端靠近乙狀結腸的轉彎處,直徑約2公分,研判應是太用力灌腸造成的腸道破裂,也讓大量的宿便流進腹腔,才會引發嚴重的腹膜炎。所幸黃男術後順利康復,但也嚇得直呼「再也不敢自己隨意灌腸了」。
馮啟彥指出,便秘是現代人常見問題,容易引發痔瘡出血及肛門裂傷等問題,改善方式建議先從調整飲食、培養生活習慣及規律運動著手,若仍無法改善便秘問題,最好尋求醫師協助,由醫師評估狀況後安排適合藥物。
他提醒,灌腸是在便秘時一種刺激排便的急救方式,但應在醫師指示下謹慎使用且不宜長期依賴,過度使用可能導致肛門撕裂傷、痔瘡破裂出血、大腸黏膜受損等,甚至如此次案例導致直腸破裂、細菌感染,而發生腹膜炎,有引發敗血症甚至休克死亡風險。(編輯:方沛清)1141127

本網站之文字、圖片及影音,非經授權,不得轉載、公開播送或公開傳輸及利用。




















