烏魚苗快速鑑別 水試所研發檢測試紙
2025/11/28 17:19(11/28 17:31 更新)
(中央社記者汪淑芬台北28日電)烏魚是台灣沿近海漁業與養殖業的重要經濟魚種,烏魚子更珍貴,養殖用烏魚苗仰賴野生撈捕,不同魚苗,烏魚子品質差異大,水試所研發快速檢測試紙,協助養殖業提高競爭力。
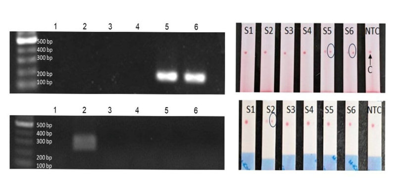
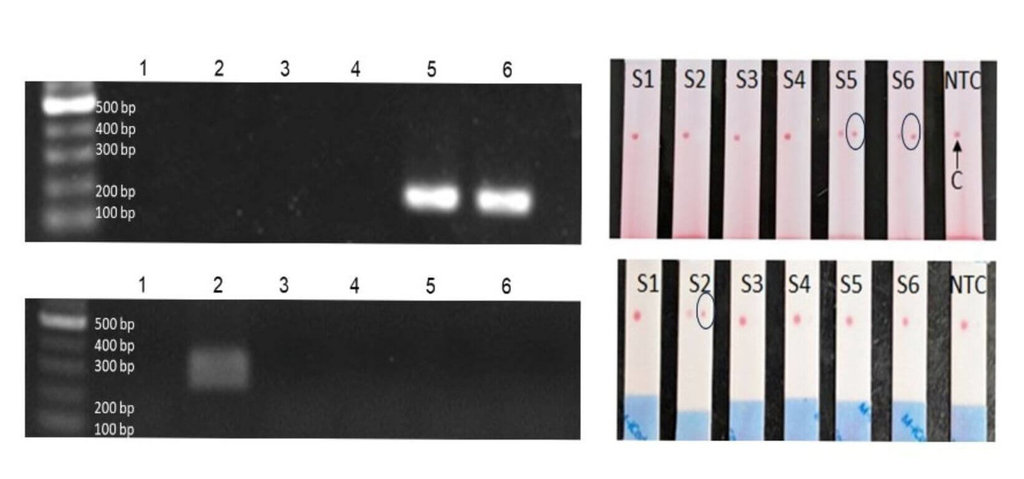
農業部今天發布新聞稿,水產試驗所運用分子生物鑑定技術,成功開發出烏魚系群快速檢測試紙,可協助業者迅速判別魚苗來源,篩選適合當地養殖的系群。
水試所指出,烏魚因其珍貴的烏魚子素有「烏金」美譽,是台灣沿近海漁業與養殖業的重要經濟魚種,台灣鄰近西北太平洋海域的烏魚可分為溫帶型、黑潮型與熱帶型3大系群,分布於不同水溫帶。
水試所表示,目前養殖用烏魚苗主要仰賴野生撈捕,如何精準鑑別魚苗系群、選擇適合台灣環境的族群,成為確保養殖產業在氣候變遷下維持永續發展的關鍵。
水試所研究團隊指出,過去研究已顯示不同系群雌魚的生殖特性差異明顯,直接影響烏魚子的產值潛力。溫帶型雌魚經3年養殖後,性腺指數偏低、卵巢未見發育;黑潮型雌魚則具有較高性腺指數與發育中卵巢,具生產烏魚子的經濟價值。表現最佳者為熱帶型雌魚,其體重與卵巢重量均顯著高於黑潮型雌魚,顯示具生產體型更大、品質更優烏魚子的潛力。
水試所表示,這次開發的烏魚系群鑑定快速檢測DNA試紙,能在40分鐘內判定烏魚苗與親魚的系群來源,為人工繁殖與種苗選育提供科學依據。未來將持續優化檢測技術,協助養殖業者建立更具氣候韌性與永續競爭力的烏魚產業。(編輯:管中維)1141128
本網站之文字、圖片及影音,非經授權,不得轉載、公開播送或公開傳輸及利用。




















